Боль в груди: плеврит и его симптомы

При раздражении плевры развивается такое заболевание, как плеврит. Он приводит к воспалению мембран, которые окружают легкие и выстилают полость грудной клетки. Еще Гиппократ описывал клинические признаки данной болезни в 400 году до н. э.
В плевральной полости может накапливаться жидкость, которую называют плевральным выпотом, или экссудатом. Однако такой жидкости может и не быть, тогда речь идет о сухом плеврите.
Наиболее частый симптом плеврита — внезапно начинающиеся боли в грудной клетке. Во время дыхания эта боль ощущается как неопределенный дискомфорт и может становиться резкой, интенсивной и острой. Дыхание обычно учащенное и поверхностное, поскольку глубокое дыхание усиливает боль.
Другие симптомы: одышка, кашель, лихорадка или потеря веса — в зависимости от основной причины возникновения заболевания. Наиболее распространенной из них является вирусная инфекция. Иные причины включают пневмонию, легочную эмболию, аутоиммунные расстройства, рак легких, осложнения после операции на сердце, туберкулез, панкреатит, травму грудной клетки (перелом ребра), асбестоз и аллергические реакции, вызванные лекарствами. Иногда причина остается неизвестной. Другие состояния, которые могут вызывать подобные симптомы, включают перикардит, сердечный приступ, холецистит и пневмоторакс.
Диагностика и лечение
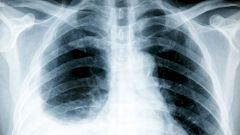
С помощью стетоскопа врач прослушивает характерный скребущий звук, называемый шумом трения плевры. Диагностика также может включать рентгенограмму грудной клетки, электрокардиограмму (ЭКГ) и анализы крови.
Лечение плеврита зависит от его специфической причины. Например, при бактериальной инфекции назначают антибиотики, а при вирусной инфекции специфического лечения не нужно. Анальгетики, такие как парацетамол или ибупрофен, могут помочь уменьшить боль в грудной клетке независимо от причины плеврита.
Когда обратиться к врачу
- При внезапной острой боли в грудной клетке.
- Если боль усиливается при глубоком дыхании, кашле.
- Если боль заставляет принимать вынужденное положение.
- Если отчетливо слышен шум трения плевры.
Читайте также: «Пневмония, или воспаление легких, — не летняя болезнь?»
Больше интересных статей читайте на нашем канале в «Яндекс.Дзене».