Врачи Ростова-на-Дону спасли мужчину с застрявшей шариковой ручкой в голове
Врачи городской больницы скорой медицинской помощи провели уникальную операцию по извлечению шариковой ручки, которая, пройдя через глаз, пронзила пациенту в мозг. По словам медиков, каким-то чудом важнейшие сосуды и нервы оказались не задеты.
37-летнего пациента доставили в больницу Ростова-на-Дону без сознания. Мужчину сразу положили на операционный стол. Операция по извлечению шариковой ручки продолжалась в течение трех часов с участием семи профессионалов. Помимо двух нейрохирургов, в процессе участвовали завотделением нейрохирургии, два анестезиолога, офтальмолог и младшая медсестра. Было применено самое современное оборудование.
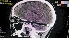
Ручка вошла в мозг через глаз, повредив главное яблоко. При этом инородный предмет занял практически всю полость черепа. Как сообщили врачи «Комсомольской правде в Ростове», ручка прошла в миллиметре от важнейших сосудов и ствола головного мозга, не задев их. Извлекать предмет тоже пришлось с ювелирной точностью. После операции пациенту сделали компьютерную томографию, чтобы исключить возможные риски и осложнения.
Мужчина до сих пор находится без сознания, поэтому пока сложно оценить, как отразилось повреждение на функционировании организма.
