Появилось первое фото коронавируса омикрон-штамма
На снимке видны характерные шипы.

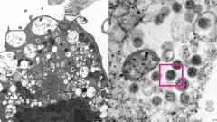
Университет Гонконга на своем сайте опубликовал изображение омикрон-штамма коронавируса, полученное с помощью электронного микроскопа.
На электронной микрофотографии показана почечная клетка обезьяны после заражения «Омикроном». На снимке с сильным увеличением видно поврежденную клетку с набухшими везикулами, содержащими маленькие черные вирусные частицы с шипами в форме короны.
Новый вариант вируса, получивший название B.1.1.529 («Омикрон»), появился в Ботсване в ноябре. На сегодняшний день он является наиболее мутировавшей версией вируса. По словам ученых, «Омикрон» передается гораздо быстрее, чем предыдущие варианты коронавируса.
Биолог назвал омикрон-штамм «живой вакциной» от коронавируса