Статьи
Многим женщинам не нравится запах собственного влагалища. О весьма чувствительной и деликатной теме рассказывает доктор философии и психолог в области женской сексуальности Лори Минц
О том, какие бывают фобии, как с ними бороться и можно ли вообще с ними справиться, рассказывает клинический психолог, писатель и ведущий телеканала «Доктор» Михаил Хорс
Многие знают, что родившийся в Америке ребенок получает американское гражданство и, соответственно, много преимуществ, которые оно гарантирует. С Канадой «та же самая история»: каждый ребенок, который рождается на территории Канады, получает канадское гражданство
Рассуждает и дает советы автор и ведущий программы «На приеме у психолога» на телеканале «Доктор» Михаил Хорс
Интересные факты и комментарии в сфере медицины, науки и здоровья. Коротко о главном читайте в нашем материале
Уникальный фотопроект, автором которого является Наира Оганесян, представил красоту детей, которые были рождены от родителей разных национальностей. Удивительно, но на приглашение в съемках уже ответило более 200 семей. По словам фотографа, во время отбора было непросто, так как все дети по-своему оригинальны. Чтобы лучше поймать кадр, она остановилась на детях шести-девяти лет, которые могут спокойно позировать в течение нескольких минут.
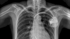
ИКД (имплантируемый кардиовертер-дефибриллятор) уменьшает опасность для жизни пациентов, у которых возможна внезапная остановка сердца. Однако что мешало распространению одного из самых важных изобретений XX века?
Скандинавская ходьба получила признание миллионов людей по всему миру. Этот вид спорта позволяет заняться фитнесом людям, у которых есть проблемы со здоровьем.
Профилактические врачебные обследования жизненно важны, так как помогают выявить болезни, которые очень часто трудно распознать на ранних стадиях.
Разбираем наиболее удобные аксессуары для чистки молочных зубов и объясняем правильную технику. На вопросы отвечает врач-стоматолог Марина Викторовна Амбарцумова
Такая патология зачастую возникает в поясничном отделе позвоночного столба, но бывает также грыжа грудного или шейного отделов. В зависимости от того, где возникла деформация диска, проявляются различные симптомы
Амблиопия, которую часто также называют «ленивым глазом», — это функциональный, но вполне исправимый дефект зрения
Хорошо, когда в домашней аптечке есть все необходимое. Но если лекарства стоят рядом на полке, это еще не значит, что они совместимы в нашем организме. Узнайте больше о нестероидных противовоспалительных препаратах
Высокое качество лечения в Южной Корее — заслуга в первую очередь государства, которое десятилетиями развивало свою медицину и создало систему здравоохранения, равной которой нет практически во всем мире
Псориаз чаще всего возникает у пациентов в возрасте от 20 до 30 лет. Он проявляется красными пятнами на коже, которые покрыты серебристыми чешуйками. Не является инфекционным заболеванием
Этим таинственным явлением пугают женщин начиная чуть ли не с рождения. Мамы, подруги и другие доброжелатели нашептывают на ушко об опасностях, которые приносит в семью кризис среднего возраста. Но так ли это?
Психологи предложили всем желающим календарь, с помощью которого можно достаточно просто решить задачи мотивации и планирования жизни человека. Рассмотрим его внимательнее
В крупных городах все куда-то постоянно спешат: на работу, в магазин, на учебу. Часто мы просто не замечаем, что кому-то стало плохо и нужна помощь. Многие из нас, впрочем, не знают, как правильно оказывать первую помощь, и боятся навредить.
Интересные факты и комментарии в сфере науки, медицины и здоровья. Коротко о главном читайте в нашем дайджесте
Неумеренное поглощение пищи в большом количестве, или, говоря научным языком, компульсивное переедание, — это достаточно серьезная патология, которая часто становится причиной многих заболеваний
При spina bifida в утробе матери позвоночник плода развивается неправильно. Этот врожденный дефект возникает у одного-двух новорожденных из 1000. Главным методом лечения является хирургическое устранение аномалии
Планета закофеинилась. По подсчетам, в конце XVIII века каждый третий житель планеты (а это 300 млн человек) регулярно употреблял кофе. Сегодня же кофеманов 2,5 млрд
Интересные факты и комментарии в сфере медицины и здоровья. Коротко о главном читайте в нашем дайджесте
Регулярное мытье рук необходимо не только для удаления с ладоней и пальцев грязи, но и для устранения с поверхности кожи множества вредных для здоровья микробов.
Виротерапия — это новый инновационный метод лечения онкологических заболеваний, который использует репликацию компетентных вирусов для уничтожения рака. Вирусы избирательно заражают и повреждают раковые ткани, не нанося вреда нормальным тканям.
При обнаружении у себя симптомов гриппа настоятельно рекомендуется оставаться дома, вызвать врача и соблюдать постельный режим до его прихода.
Во всем мире ежегодно происходит более 6 млн инсультов, из них 450 000 — в России. Согласно статистике, каждые полторы минуты у одного из жителей страны развивается инсульт.
Интересные факты и комментарии в сфере медицины и здоровья. Коротко о главном читайте в нашем дайджесте.
Страны-лидеры по проведению самого большого количества пластических операций — это США (17,9% хирургических вмешательств), Бразилия (10,7%), Япония (4,8%), Италия (4,1%), Мексика (3,9%).
Вредные привычки (алкоголь, курение и т. д.) — отрава для организма. При этом основную нагрузку придется выдерживать печени как органу, который, помимо других функций, отвечает за непрерывное очищение крови.


































